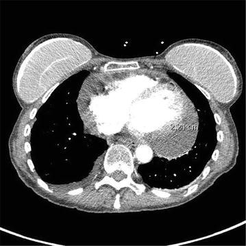
Fig. 1From: Conservative management of nivolumab-induced pericardial effusion: a case report and review of literatureCT angiography of the chest demonstrated a large pericardial effusion of 2.4 cm thickness after treatment with first dose of nivolumabBack to article page